VERY IMPORTANT if your dog is over 7 – Non prescription supplements prevent dog dementia

My dog turns 8 soon and this is the age where dog food companies create products which in theory help a dogs brain from excessive decline.
However even premium products are unlikely to put in enough active ingredients (along with the cost of their ‘premium dog food’ grains to really prevent damage).
My dog is mostly on a raw meat diet, so having high concern for my dog’s wellbeing I know its important to consider what the latest products claiming to prevent dog dementia are and what are their effectiveness.
Natural supplement used to prevent dog dementia
The pharmaceuticals discussed in the last article on this site are about patented drugs that have a direct affect on neurotransmitters, or specific brain functioning. They are vet prescribed only, often expensive and can have major side effects that require careful monitoring and breaks in usage.
They have an important place in managing dementia in dogs, however there seems to be a place for more natural substances for preventing or reducing the affect of Alzheimer’s, at least in the early stages. These products are often tied up with maintaining cell integrity, maintaining dopamine function (while reducing the affect of its by-products) and reducing or clearing ‘free radicals’.
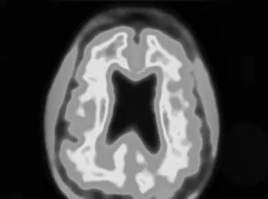
The cause of dementia in dogs is that “A consistent finding in both is neuron loss and cortical atrophy as well as deposition of predominantly diffuse beta-amyloid plaques. Most deposition in dogs is in the cerebral cortex and the hippocampus, an area associated with memory. In senile dogs a correlation exists between the quantity of beta-amyloid accumulation and the degree of cognitive decline. ” REF 1
Many quality senior dog food varieties in Australia and America add a broad spectrum of antioxidants and mitochondrial co-factors that might improve antioxidant defences, as well as decrease production/ increase clearance / reduce the toxic effects of free radicals. in an attempt to prevent the development of the age-related neuropathology.
Antioxidants may help with their anti-inflammatory properties (Fryer, 1998; McGahon et al., 1999) that affect dog brain memory. The brain may be particularly susceptible to the effects of free radicals because it has a high rate of oxidative metabolism, high lipid content, and limited ability for regeneration (Cotman et al., 2002; Ikeda-Douglas et al., 2004). REF 1
“Widespread oxidative damages, extensive production of free radicals, and lowered vitamin E levels have all been identified in the brains of dogs with dementia (Skoumalova et al., 2003; Shigenaga et al., 1994; Head et al., 2002). ” REF 1
What is in a naturopath dog diet to stop dementia
- vitamins E and C, and other antioxidants including beta carotene, selenium, dlalpha-lipoic
- flavonoids and carotenoids from fruits and vegetables (spinach flakes, tomato pomace, grape pomace, carrot granules, and citrus pulp).
- l-carnitine and dl-alpha-lipoic was also intended to enhance mitochondrial function (McGahon et al., 1999; Hagen et al., 1998, 2002; Hager et al., 2001; Packer et al., 1997).
- Omega-3 fatty acids has also been increased to promote cell membrane health as well as a possible anti-inflammatory effect (Youdim, 2000; Lands et al., 1990).
- B-vitamins (thiamine, riboflavin, niacin B6 and B12) may also have antioxidant properties and neuroprotective effects, as well as the ability to normalize neurotransmitter levels.
The value of the above chemicals in reducing dog dementia
There is a link to Alzheimer’s disease in humans and Vitamin B12 deficiency. It is particularly good at slowing the shrinkage of a dogs brain in old age by as much as a factor of seven. NOTE by the time a dog dies its brain can decrease by as much as 25% in size. Vitamin B12 does not repair lost brain function but can reduce the speed that decline occurs at and reduce delirium. There is caution to use a balanced Vitamin B spread as high folate acid levels (B9) combined with low B12 can lead to dog dementia itself!
Vitamins E and C help to neutralize free radicals and prevent damage to cells and cell membranes (Fryer, 1998; Mayes, 2000; Packer, 1994; Kamal-Eldin and Applqvist, 1996; Joseph et al., 1998).and might decrease the risk for age related cognitive decline through their antioxidant and anti-inflammatory properties (Joseph et al., 1999; Youdim et al., 2000; Martin et al., 2000; Halliwell, 1994).
l-carnitine and dl-alpha-lipoic (mitochondrial co-factors) It is interesting to note that these substances were originally studied for their affects in opening up arteries and helping with heart issues, but aged dogs and humans also suffer from aging of the brain when the arteries in the brain shrink. Their primary use for aged dogs is to increase energy metabolism (for mobility) and increase memory.
“Mitochondria (parts of cells that generate the energy that our cells need to function) produce reactive oxygen species (FREE RADICALS) that may contribute to vascular dysfunction. Alpha-lipoic acid and acetyl-L-carnitine reduce oxidative stress and improve mitochondrial function.”
Studies have shown that administration of alpha-lipoic acid and/or acetyl-L-carnitine can reduce oxidant production and improve mitochondrial function in aged dogs.
Phosphatidylserine “is a phospholipid that constitutes a major building block of the cell membrane. In humans with cognitive decline, it has been reported to improve scores for activity, social interactions, memory and learning. (Crook et al., 1991, 1992). Since neurons are highly dependent on their plasma membranes, phosphatidylserine may facilitate membrane-dependant neuronal processes such as signal transduction, release of secretory vesicles and maintenance of the internal environment. ” REF 1
Preliminary studies in the dog using a combination of DHA (from Omega 3 oils) nd cerebral phospholipids showed a trend towards improvement in memory capacity and a significant improvement in quality of life (Studzinski, in preparation). REF 1
Complimentary dog demenita therapies including neutraceuticals.
Non prescription drug treatments tend to be products contain a mix of vitamins and neutraceuticals, including phospholipids, fatty acids, antioxidants and mitochondrial co-factors that might, in theory be complimentary or synergistic in their actions.
Along with the brain protecting chemicals, some people use complimentary therapies including neutraceuticals. These often include herbal extracts and vitamins to keep pets calm and reduce anxiety and induce sleep (when these issues are related to brain dysfunction and age related sleep disorders etc). Some of these include melatonin, valerian root, Bach’s flower remedies, and DAPR
Some neutraceuticals products on the market (America)
AKTIVAIT DHA/EPA 35mg, L-carnitine 13.5mg,Vitamin C 20mg, N-acetyl cysteine 20mg, Alpha lipoic acid10mg, Vitamin E 10mg, Acetyl l-carnitine 5mg, Co Enzyme Q10 1mg, Phosphotidylserine 1mg.
Senilife contains (Phosphatidylserine + Pyridoxine + Ginkgo Biloba+ Resveratrol+ Natural Vitamin E)
ProNeurozone (Microcrystalline Cellulose, Dextrate, Pork Liver Meal, Acetyl-L-Carnitine, Alpha Lipoic Acid, Dried Seaweed Meal, Soy Lecithin, Stearic Acid, Salmon Oil, Grape Seed Extract (source of Bioflavanol), Silicone Dioxide, Corn Starch, d-Alpha-Tocopheryl Acetate, Cranberry Powder Extract, Sorbitol, Safflower Oil, Niacinamide, Cysteine, Brewer’s Yeast, Bilberry Powder Extract, Thiamine Hydrochloride, Riboflavin, Pyridoxine Hydrochloride, Rosemary Powder Extract, Sage Powder, Folic Acid, Vitamin B12 Supplement.)
Geriatrix (contains Dextrose, Bovine Liver, Dicalcium Phosphate Dihydrate, Poultry Digest, Poultry Liver, Stearic Acid, Silicon Dioxide, Vitamin E, Ferrous Fumarate, Ester C, Zinc Oxide, Manganese Sulfate, Vitamin A Palmitate, Choline Bitartrate, Vitamin D3, Niacin, Magnesium Oxide, Inositol Crystalline, Copper Oxide, Riboflavin, Vitamin B12, Thiamine, Vitamin B6, Sodium Selenate.
Latest dog dementia research
Much of the previous research has involved removing beta-amyloid plaques, keeping arteries open, oxygen supplied, removing oxidants and stopping brain shrinkage.
But another major Drug therapy for Alzheimer’s disease in humans is the use of drugs that enhance cholinergic transmission. Hence the use of anti-cholinergic drug (scopolamine)
“In dogs, disruption of cholinergic transmission has been demonstrated to impair working memory, but not discrimination, which parallels the decline seen in canine and human cognitive aging (Araujo et al., 2004; Bartus, 2000). ” Two cholinergic agonists, citicholine and carbacholine improve performance in operant conditioning tasks in dogs. (Bruhwyler et al., 1998; Shapovalova, 1999), which suggests that cholinergic enhancement, may improve signs associated with CDS. REF 1
CONCLUSIONS
The previous article showed that the main vet prescription drugs of choice have been: Nicergoline, Selegeline, Propentofylline
There have also been some success with S-adenosyl methionine (SAM-e), apoaequorin (from jellyfish ) and Aktivait (contain phosphatidylserine )
Some premium dog food brands for senior dogs include larger doses of vitamin B, C and E, flavonoids and carotenoids from fruits and vegetables, l-carnitine and dl-alpha-lipoic, Omega-3 fatty acids.
However the question is whether their doses are sufficient and how much of a premium you pay for these products to be added to premium dog food versus buying supplements separately.
Our next article reviews the possible effectiveness of the ingredients in Aktivait
REF 1
Review article Therapeutic agents for the treatment of cognitive dysfunction syndrome in senior dogs